MiWire Logo
UPDATE
  • Home
    • Home
  • Categories
    • Michigan Business & Economy
    • Entrepreneurs & Innovation
    • Michigan Community & Lifestyle
    • Industry & Markets
    • National Business & Economy
    • Online Marketing
February 24.2026
3 Minutes Read

How McLaren Health Care Uses AI to Transform Cardiovascular Screening in Michigan

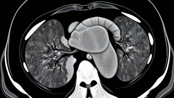
AI-Powered Cardiovascular Screening Michigan showing CT scan of heart highlighting calcification.

Revolutionizing Heart Health: McLaren’s AI-Powered Screening Program

In an impressive leap forward for cardiac care, McLaren Health Care has launched an innovative, AI-powered cardiovascular screening program in Michigan. This program stands out as the first of its kind in the state, employing advanced technology to enhance the early detection of heart disease—a critical aspect of preventive healthcare.

Why Early Detection is Essential

Cardiovascular diseases remain the leading cause of death in the United States. Many individuals are unaware of their risk factors until it's too late. McLaren's screening program aims to bridge this gap by utilizing routine chest CT scans to identify markers of heart disease that traditionally go unnoticed. Through partnerships with Bunkerhill Health, their advancements in imaging have introduced the ability to detect both incidental coronary artery calcium (iCAC) and incidental aortic valve calcium (iAVC), key indicators of heart conditions such as coronary artery disease and aortic stenosis.

How McLaren's Program Works

This groundbreaking program streamlines the process of heart disease screening by analyzing data from chest CT scans that patients have already undergone for unrelated medical reasons, such as lung cancer screenings. This not only speeds up the detection process but also eliminates the need for additional imaging, making cardiovascular care more accessible to a larger population.

“By using clinical information already at our disposal, we can identify patients who might benefit from further follow-up even before symptoms appear,” explained Dr. Samer Kazziha, Chief Medical Director of the McLaren Heart & Vascular Institute. This proactive approach emphasizes preventive care, a model healthcare professionals are striving to implement more widely across the nation.

The Role of AI in Modern Medicine

The integration of AI in healthcare is transforming the landscape of medical diagnostics. McLaren is one of only five healthcare systems in the U.S. utilizing AI-powered detection for aortic valve calcium during routine scans. This data-driven approach allows for more precise identification of at-risk patients, enhancing their long-term health outcomes.

AI algorithms, particularly those earmarked by the FDA, are making it possible to accelerate clinical decision-making. This is crucial in directly addressing the public health crisis posed by heart disease by allowing healthcare providers to act swiftly based on comprehensive, real-time data.

Community Impact: A Healthier Michigan

The introduction of this screening program signifies a commitment not just to individual patients, but to the overall health of the Michigan community. Health professionals like Dr. Kazziha emphasize that by identifying more heart disease cases early, McLaren is taking critical steps to reduce hospitalizations and improve quality of life for residents across the state.

Moreover, being at the forefront of such a vital health initiative exemplifies the progressive vision of Michigan's healthcare ecosystem. As healthcare evolves with technology, initiatives such as this reflect a brighter, healthier future for all communities involved.

Future Directions and Opportunities

As this program gathers momentum, the potential for expansion is tremendous. The algorithms and technologies developed and employed might pave the way for even broader applications within healthcare. The success of McLaren’s program could serve as a model for other health systems nationwide, showcasing how AI can proactively enhance the quality of care.

In conclusion, McLaren Health Care’s launch of its AI-powered cardiovascular screening program is a monumental step toward transforming cardiac care in Michigan—protecting patients and paving the way for a healthier future. Community members and healthcare professionals alike have cause to be optimistic about these advancements that keep patient welfare at the forefront.

MI Community & Lifestyle

0 Views

0 Comments

Write A Comment

*
*
Please complete the captcha to submit your comment.
Related Posts All Posts
05.24.2026

Usyk vs. Verhoeven: What the Fight Means for Boxing Fans

Update The Epic Showdown: Usyk vs. Verhoeven The long-anticipated bout between Oleksandr Usyk and Rico Verhoeven unfolded on an iconic stage—the Egyptian pyramids. Usyk, famed for his technical prowess and speed in the boxing ring, faced off against the revered kickboxer Verhoeven, a titan known for his size and striking abilities. This unmissable event not only showcased the melding of boxing and kickboxing but also tested the limits of both fighters in a high-stakes arena. Understanding the Stakes: What Was On the Line? For Usyk, the fight was about defending his unified heavyweight championship title, while Verhoeven sought validation in a different combat sport. With Usyk holding an impressive record of 25-0 with 16 knockouts, fans knew he was a formidable opponent. Conversely, Verhoeven, boasting a renowned kickboxing background of 66 wins, found himself in a fight world that favored Usyk. Yet, the excitement came from the unique clash of styles—a technical boxer vs. a power striker. Impact on the Sport and the Fighters' Careers This fight wasn't just another chapter in boxing; it highlighted the ongoing fusion of fighting disciplines. Many trainers and athletes in the community are scrutinizing what this means for their training methodologies. With kickboxing rising in popularity and precision boxing being a skillful art, a crossover fights like this can open new doors for athletes seeking to expand their repertoire. Fans eagerly debate whether fighters should cross-train and dive into other martial arts, as they evaluate Usyk's tactical genius against Verhoeven's striking fierceness. Analyzing the Match: Key Moments As the rounds unfolded, tensions mounted. Verhoeven's surprising endurance kept fans on edge, forcing them to question the expected outcome. Accusations against Usyk being a massive favorite seemed ludicrous as Verhoeven showed incredible tenacity through ten rounds. Ultimately, Usyk's experience shone brightly in the 11th round, where he delivered a powerful combination that dropped Verhoeven, leading to a TKO just as the bell approached. What Does This Victory Mean for Usyk? Usyk's latest win only adds to his legacy in boxing. However, the question remains: what is next for the champion? With competitors lining up to challenge him, the future is rife with potential showdowns. Famed boxing promoters are already speculating on lucrative rematches and longer-term rivalries that could usher in a new era in heavyweight boxing. Usyk's performance raises discussions about rematches and future opponents who could test the champion in different ways. Fans should keep an eye on the boxing landscape as the hunt for new challengers is on. Community Reactions and Future Predictions The reaction from boxing aficionados has been fervent. Many hail Usyk's perseverance, while others caution against complacency in the ring. Social media buzzed with discussions about whether fighters transitioning between kickboxing and boxing signify a new trend or simply a novelty. As discussions about fight scheduling in Michigan and beyond heat up, local sports bars and venues prepare for game-day viewing parties to welcome the latest boxing action. If the right matchups are made next, anticipation for upcoming boxing events could rival that of Usyk’s clash with Verhoeven. The thrilling environment of collective engagement in Michigan is palpable, as fans flock to sports bars for analyses of the fight and predictions for Usyk's next bout. With sports updates flowing in real-time, countless opportunities exist for athletes, trainers, and fans alike to engage in critically thought-out discussions around the next big events in the boxing world. Whether you're a part of the boxing community or simply a sports enthusiast, it's an exciting time to delve deeper into the art of these sports as they evolve. Mark your calendars, engage with the community, and tune into local sports channels for the latest updates and analyses on the thrilling world of boxing.

05.24.2026

Why the Frank Sanchez vs Richard Torrez Fight is a Must-See Event

Update Get Ready for the Heavyweight Showdown: Sanchez vs. Torrez The anticipation is building for the heavyweight clash between Frank "The Cuban Flash" Sanchez and the unbeaten U.S. Olympic Silver Medalist Richard Torrez Jr. Taking place on March 28, 2026, at the MGM Grand Garden Arena in Las Vegas, this bout isn’t just another fight; it’s a pivotal moment in heavyweight boxing, with an IBF Heavyweight Title Final Eliminator on the line. The Fighters: Who to Watch? Frank Sanchez enters the ring with a professional record of 25 wins, 1 loss, and 18 knockouts, boasting a 72% knockout rate. His height of 6'4" gives him an impressive reach of 78 inches, making him a formidable opponent. Meanwhile, Richard Torrez Jr., standing at 6'2", is slightly shorter, but with a knockout percentage of 85.71%, he’s known for his explosive power, tallying up 12 KOs in his 14 wins. The contrasting styles – Sanchez's orthodox stance versus Torrez's southpaw – will add layers to their matchup, which fans can't afford to miss. Exciting Fight Dynamics The upcoming bout is more than just statistics and records; it's a clash of different generations of fighters. Sanchez, at 33, faces the younger 26-year-old Torrez, who is on the rise and eager to prove himself. The experience Sanchez brings can be invaluable in the ring, but youth is a powerful force. As sports fans know, the outcome often hinges on quick adaptability and strategic execution during the fight. Broadcast and Viewing Information For those who want to catch the action live, the fight will be available on PBC PPV via Prime Video. Whether at home or in local sports bars, where energetic crowds gather to cheer on their favorites, fans can enjoy the thrilling atmosphere that boxing brings. Popular sports bars throughout Michigan, such as the beloved hangouts and game day spots, will likely screen this major event, allowing fans to immerse themselves in both the sport and camaraderie. Why This Fight Matters This matchup carries significant implications for the heavyweight division. A win for Sanchez could secure his shot at a title, while a victory for Torrez would signify the rise of a new superstar in boxing. The heavyweight category is notorious for its dramatic shifts in rankings—if Torrez triumphs, could we see him making headlines in the weeks to follow? Actionable Insights: How to Watch Mark your calendars for March 28, 2026. Make plans to gather with fellow fans at your favorite Michigan sports bar or tune in to the live stream. This is an event where not only the skilled athletes will shine, but it’s also a celebration of sportsmanship and community spirit. Engage in discussions about fight strategies, predictions, and more to deepen your understanding and connection to the sport. Connect with the Fight Community The boxing scene is busy, with conversations about upcoming fights and tactical analyses buzzing in the air. For those interested in deeper insights, following digital sports outlets, podcasts, or engaging in sports blogs can enhance your viewing experience and ensure you remain at the forefront of the latest updates, strategies, and expert commentary. Don’t miss out—be part of this historic boxing night as Sanchez and Torrez face off. Watch, enjoy, and partake in the energy of the sport, whether from your living room or at a local sports venue. It's more than just a fight; it's an experience!

05.24.2026

Hamzah Sheeraz Triumphs: What His WBO Title Means for Boxing Fans

Update Hamzah Sheeraz's Domination: Revolutionizing the Super Middleweight Scene In a captivating showdown against Alem Begic, Hamzah Sheeraz claimed the vacant WBO super middleweight title with a stunning second-round knockout at the Pyramids of Giza, Egypt. Sheeraz's powerful strategy and swift punches showcased not only his boxing prowess but also marked a significant moment in his burgeoning career. What Does Sheeraz's Victory Mean for Boxing Fans? The stakes were high as Sheeraz (23-1-1, 19 KOs) went head-to-head with the seasoned Begic (29-1-1, 23 KOs). With this title, Sheeraz now stands at the forefront of a very competitive division, potentially setting the stage for epic clashes against boxing giants like Canelo Alvarez. This championship victory isn't just about a belt; it's about Sheeraz staking his claim as a prominent player in the world of boxing. Fans buzzing about live sports today in Michigan can see this as a turning point, with implications on the regional sports scene and heightened excitement surrounding upcoming boxing events. The Fight Breakdown: Key Takeaways Sheeraz utilized his height advantage from the onset, employing a relentless jab technique that left Begic scrambling for a foothold. While Begic, at 39, struggled against the younger fighter, it was Sheeraz's ability to combine speed and power that dictated the fight's tempo. His second-round finish with a left body shot illustrated a precise understanding of his opponent's weaknesses, showcasing the strategy that made him a champion. Sheeraz's Strategic Playbook: What Sets Him Apart Sheeraz's boxing style merges calculated aggression with technical finesse. He effectively transitioned from defense to offense, creating opportunities to capitalize on Begic’s defensive lapses. This adaptability, coupled with the experience gained from previous high-pressure matches like against Edgar Berlanga, signifies his readiness for the championship level. Fans and trainers alike can learn from this approach as they develop their tactical methodologies. Future Championships: Sheeraz's Path Ahead The competition in the super middleweight division is heating up. With Canelo Alvarez's upcoming bout against Christian Mbilli, Sheeraz's name is circulating in conversations about potential matchups. His ambitious remarks post-fight echoed a confident ethos: “I will collect all the belts.” This forward-looking vision inspires not just fellow athletes but an entire spectrum of sports enthusiasts. Local Events and Community Engagement For sports fans in Michigan, this victory serves as a catalyst for sports engagement at local venues, such as sports bars big on fight nights. Neighborhood spots like Detroit and Ann Arbor are amplifying their game nights, becoming crucial hubs before and after matches. When something as electrifying as Sheeraz's knockout emerges, communities rally around the excitement, connecting through shared experiences, forging camaraderie amidst competition. A Challenge for Canelo: The Stage is Set While Sheeraz’s victory is profound, one mustn’t overlook the challenges that lie ahead, particularly with titans of the sport like Canelo Alvarez. The potential matchup raises questions about boxing's competitive landscape. Sheltering behind title belts might restrict the willingness to take risks, thus pushing the sport into a staler orbit. Sheeraz, however, seems intent on turning the traditional script on its head, favoring bouts against top-tier opponents as opposed to taking easy fights. As the boxing world watches closely, Sheeraz is poised to redefine what it means to be a champion in today’s fast-evolving sporting arena. His journey is not just a personal conquest but also a beacon for aspiring athletes, reminding us all that with relentless determination, victory is always within reach. If you’re eager to keep up with the dynamic world of boxing and participate in local sports events, check out your nearest sports bars and sports shops in Michigan. Engage with fellow fans and ensure you don’t miss out on any future live boxing matchups!

Terms of Service

Privacy Policy

Core Modal Title

Sorry, no results found

You Might Find These Articles Interesting

T
Please Check Your Email
We Will Be Following Up Shortly
*
*
*